
여러분, 혹시 이런 적 있으신가요?
가벼운 숨참, 기침이 자주 나오거나, 계단을 오르기만 해도 숨이 차오르는 경험 말이에요.
우리 몸의 산소 공급을 책임지는 폐 건강은 생각보다 훨씬 중요한데요,
꾸준히 관리하지 않으면 일상 속에서 큰 불편함은 물론이고, 심각한 질환으로 이어질 수 있습니다.
오늘은 여러분의 폐를 튼튼하게 지키는 실천 방법을 다 함께 살펴보려고 해요.
폐 건강 지키기는 단순히 금연만으로 끝나는 이야기가 아닙니다. 올바른 생활습관, 균형 잡힌 식단, 적절한 운동과 환경관리가 함께 이루어질 때 비로소 우리 폐는 건강을 유지할 수 있습니다. 이 글에서는 폐를 건강하게 유지하기 위한 6가지 핵심 방법을 소개합니다. 건강한 호흡을 위한 작은 실천이 평생을 좌우할 수 있다는 사실, 알고 계셨나요? 지금부터 하나씩 꼼꼼히 알아보며, 여러분도 실천할 수 있도록 도와드릴게요.
안녕하세요 여러분! 오늘도 건강한 하루 보내고 계신가요?
요즘처럼 공기질이 좋지 않은 날이 많아질수록 폐 건강에 대한 관심도 높아지고 있어요.
특히 호흡기 질환이나 기관지가 약한 분들이라면 더욱 신경 써야겠죠.
그래서 오늘은 '폐 건강'을 지키는 다양한 방법을 쉽고 친근하게 소개해드리려 해요.
함께 따라 하면서 건강한 삶을 만들어가 보아요 😊
📋 목차
일상 속에서 실천하는 폐 건강 생활습관 🌿
폐 건강은 작은 습관에서부터 시작됩니다.
다음과 같은 실천들이 여러분의 폐를 튼튼하게 지켜줄 수 있어요:
✅ 금연은 필수: 흡연은 폐 건강을 가장 크게 해치는 요소 중 하나입니다. 직접적인 흡연은 물론 간접흡연도 피해 주세요.
✅ 실내 공기 환기: 하루 2~3회 실내 공기를 환기해 주는 습관은 폐에 쌓일 수 있는 오염물질 제거에 효과적이에요.
✅ 올바른 자세 유지: 장시간 구부정한 자세는 폐의 확장을 방해할 수 있어요. 스트레칭과 바른 자세도 중요한 습관입니다.
✅ 정기적인 산책: 신선한 공기를 마시며 걷는 것은 폐 기능 향상에 큰 도움이 됩니다.
폐에 좋은 음식과 나쁜 음식 구분하기 🍎
| 좋은 음식 | 나쁜 음식 |
|---|---|
| 브로콜리, 시금치, 배, 사과 등 항산화 작용이 뛰어난 과일과 채소 | 가공식품, 인스턴트 식품, 탄 음식, 고지방 고염식 |
| 등푸른 생선, 호두, 아마씨 등 오메가3 풍부 식품 | 설탕이 많이 든 음료나 디저트류 |
폐 건강을 생각한다면 항산화 성분이 풍부한 식재료와 염증을 줄이는 음식을 중심으로 식단을 구성해 보세요.
반대로 폐에 자극을 주는 고열량, 고지방 음식은 자제하는 것이 좋아요.
폐 건강을 위한 운동 루틴 💨
꾸준한 유산소 운동은 폐 기능을 향상하고 산소 교환 능력을 높여줍니다.
다음과 같은 운동이 효과적이에요:
- 걷기 가장 쉬우면서도 효과적인 유산소 운동으로, 매일 30분 이상 걸으면 폐의 탄력을 유지하는 데 좋아요.
- 계단 오르기 숨이 차오를 수 있지만 폐의 기능을 자연스럽게 강화시켜 주는 운동입니다.
- 복식호흡 연습배로 깊게 들이마시고 천천히 내쉬는 복식호흡은 폐 용량을 키우는 데 큰 도움을 줍니다.
처음에는 가볍게 시작하고 점차 강도를 높여가는 것이 좋아요.
무리한 운동보다는 꾸준함이 핵심이라는 점, 꼭 기억해 주세요!
미세먼지와 공기청정, 환경관리법 🌫
요즘 같은 미세먼지 많은 날엔 외출조차 망설여지죠.
폐 건강을 위해 실내외 환경을 어떻게 관리할 수 있을까요?
건강한 폐를 위해선 맑은 공기 속에서 살아가는 것이 무엇보다 중요해요!
✅ 공기청정기 사용: 실내 공기를 항상 깨끗하게 유지해 주는 필수 아이템이에요.
✅ 마스크 착용: 미세먼지, 황사, 냄새가 심한 날에는 KF94 마스크를 꼭 착용해 주세요.
✅ 실내 청소 습관: 이불, 커튼, 카펫 등의 먼지를 자주 털고 청소기로 관리하세요.
✅ 초록 식물 두기: 공기 정화 능력이 있는 식물을 실내에 두면 자연 공기청정 효과를 얻을 수 있어요.
호흡기 질환 예방을 위한 생활 수칙 🛡
| 예방 수칙 | 실천 방법 |
|---|---|
| 손 씻기 | 외출 후, 식사 전후 비누로 30초 이상 꼼꼼히 |
| 기침 예절 | 기침은 옷소매나 휴지로 입을 가리기 |
| 외출 후 세안 | 미세먼지·세균을 깨끗이 씻어내기 |
| 수분 섭취 | 하루 8잔 이상 물 마시기 |
이처럼 간단한 습관만 잘 지켜도 호흡기 질환을 예방할 수 있어요.
가족 모두의 건강을 위해 실천해 보세요!
폐 건강을 위한 정기 검진의 중요성 🏥
평소에는 아무 증상이 없지만, 조용히 진행되는 폐 질환도 많습니다.
그래서 더욱 중요한 것이 바로 정기 검진입니다.
✅ 폐 기능 검사(FVC, FEV1)를 통해 폐활량과 호흡 속도를 측정할 수 있어요.
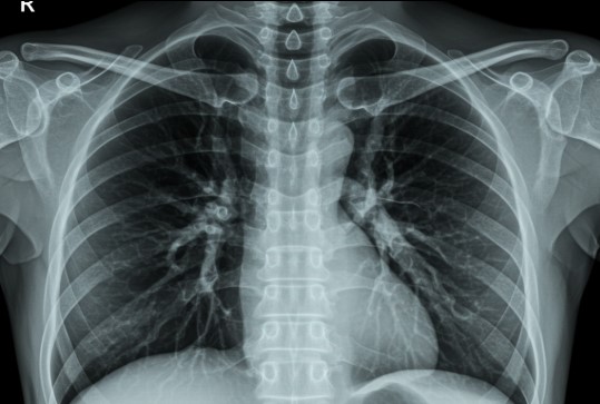
✅ 흉부 X-ray 검사로 폐렴, 결핵, 종양 등 이상 유무를 확인할 수 있어요.
✅ 흡연자라면 더욱 주기적인 확인이 필요합니다. 건강보험공단에서도 무료 검진을 제공하니 꼭 활용해 보세요.
"건강할 때 지키는 것이 진짜 예방입니다."
귀찮다고 미루지 말고, 1년에 한 번 폐 건강 체크해 보세요!
폐 건강 FAQ ❓ 자주 묻는 질문
폐는 어느 정도 손상되면 회복이 안 되나요?
폐는 재생 능력이 제한적이지만, 조기 관리와 금연, 건강한 생활습관을 통해 기능 회복은 가능합니다. 폐 섬유화처럼 구조적 손상이 진행되면 회복이 어려우니 예방이 중요해요.
공기청정기만 있으면 외출 시 마스크는 안 써도 되나요?
실내에서는 공기청정기가 도움이 되지만, 외출 시에는 미세먼지를 직접 흡입할 수 있기 때문에 마스크 착용은 여전히 중요합니다.
폐에 좋은 음식은 꾸준히 먹으면 효과가 큰가요?
네, 꾸준한 식습관이 가장 중요합니다. 항산화 성분이 풍부한 채소, 과일을 매일 섭취하는 것이 폐 건강 유지에 큰 도움을 줍니다.
비흡연자도 폐암에 걸릴 수 있나요?
그렇습니다. 유전적 요인, 미세먼지, 실내 공기 오염, 간접흡연 등 다양한 환경적 요인도 폐암 발생에 영향을 줄 수 있어요.
어린이도 폐 기능 검사를 받아야 하나요?
천식이나 알레르기 등 호흡기 질환이 있는 경우에는 정기적인 검사가 권장됩니다. 일반 어린이도 증상이 있다면 검진이 필요할 수 있어요.
정기 검진은 얼마나 자주 받아야 하나요?
일반적으로는 1년에 한 번, 흡연자나 폐 질환 위험군은 6개월마다 검진을 받는 것이 좋습니다.
오늘 함께 살펴본 폐 건강 지키는 법, 어떠셨나요?
특별한 약이나 큰 노력이 아니더라도, 작은 실천들이 모여 건강한 폐를 만들어갈 수 있다는 것, 느껴지셨죠?
아침 공기를 마시며 산책하기, 건강한 음식 챙겨 먹기, 그리고 정기적인 검진까지!
평소에는 별로 신경 쓰지 않던 것들이지만, 오늘부터 조금만 관심을 기울이면 분명 달라질 거예요.
여러분의 폐가 언제나 가볍고 건강하게 숨 쉴 수 있도록
앞으로도 작은 실천 함께 해보아요 😊
혹시 더 궁금한 점이나 나누고 싶은 팁이 있다면 언제든 댓글로 이야기해 주세요!
여러분의 건강한 일상을 늘 응원합니다 💜